
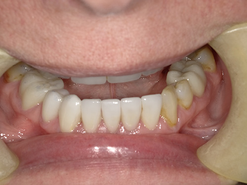
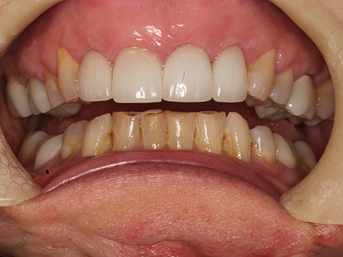
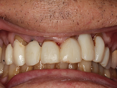
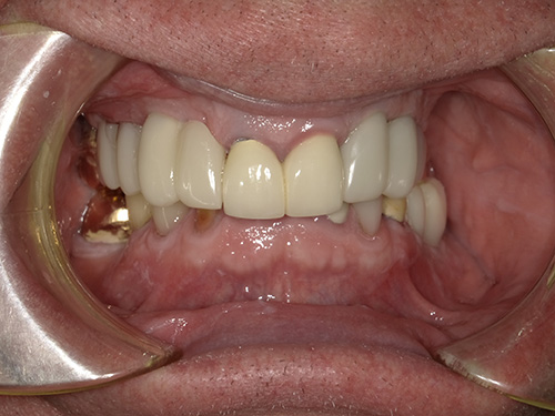
All photos shown below are real patients treated by Dr. Flex — no stock images here. Hover over each image to view the “before” photo and see the amazing results for yourself.















Ready to schedule your next dental appointment or have questions about our services?
Contacting Flex Family Dentistry is easy! Our friendly staff is available to assist you with scheduling appointments, answering inquiries about treatment options, and addressing any concerns you may have. Whether you prefer to give us a call, send us an email, or fill out our convenient online contact form, we're here to help. Don't wait to take the first step towards achieving the smile of your dreams – reach out to us today and discover the difference personalized dental care can make.